-

01
資料採取と
精密シミュレーション
ドイツ製シロナ社の高機能CTとシミュレーションソフトで得たデータをもとに、インプラントを入れる位置や角度を正確に割り出すことで、人為的なミスをほぼ無くし安全性・ 確実性を極限まで高めます。
オペ前に何度もシミュレーションができるため、骨が少ない方でも大きな外科処置をせずに済む場合や治療スピードも上がることで患者さまの負担が軽くなります。
3D立体画像撮影装置の撮影
&シミュレーション人為的ミスが少なく安全
的確な埋入をサポート
治療時間を軽減
-

02
高い技術力とチーム
体制で
難症例にも対応
大阪府堺市東区のナカノ初芝歯科クリニックには国際口腔インプラント学会の指導医が在籍し、高度な技術でオールオン6などの難症例にも対応しています。
また、インプラント手術は常に3人体制で行い、複数のドクターが連携するチーム医療で安全性と精度を徹底しています。 -

03
高い信頼性を誇る
インプラントシステム
国内外には200社以上のインプラントシステムがあり、選ぶメーカーによって治療結果や治療後の安定性に差が出ることがあります。
当法人では、トップシェアを占めている世界4大インプラントの一つであるアストラテックインプラントを製造するデンツプライシロナ社のインプラントのみを使用しております。当法人は
アストラテックインプラント
「認定」歯科医院です-

長期安定
プラットフォームスイッチングという結合部のくびれが歯肉を厚くし、退縮を防ぎます。その結果、「骨吸収による見た目の悪化」や「インプラント周囲炎」にもなりにくくなることが判明しています。
-

治療期間
短縮骨との結合が非常に早く強固なため、免荷期間を短縮でき、治療期間も短くなります。また、従来法より骨との結合が強く、長期にわたり安定して使用できるなど、患者様に大きなメリットがあります。
-
-

04
眠っている間に終わる
静脈内鎮静法
通常は局所麻酔で治療しますが、大阪府堺市東区のナカノ初芝歯科クリニックでは、歯科恐怖症や外科処置が不安な方に静脈内鎮静法をおすすめします。治療中の記憶はほとんど残らず、全身麻酔ではないためオペ後は少し休むだけで、そのまま当日中にお帰りいただけます。
-

05
治療内容を明確にし、
納得のうえで進められる
「治療計画書」「お見積書」「同意書」を用意し、メリット・デメリットや治療の流れを患者様と確認します。双方の同意なく治療を進めることはないため、安心して治療に臨んでいただけます。これらは医療機関の説明責任として欠かせない手続きです。
治療計画書・お見積書・同意書
-

06
設備が揃う
インプラント専用オペ室
感染のリスクを避けて、安心・安全なオペのためにインプラント専用のオペ室をご用意しています。手術中は生体モニターで全身の状態を管理しながら安全に手術を行っています。
-

07
専門の技工士と連携

インプラントの歯の部分は歯科技工士が作製します。技術や経験によって仕上がりが大きく変わるため、どの技工士と連携するかが治療の質に直結します。当法人では、歯科専門雑誌にも実績が掲載される専門の歯科技工士が担当します。
-

08
インプラント治療前後の
トータルサポート
インプラントを長く安定してお使いいただくため、歯周病が見つかった場合はオペ前に治療を行います。また、治療後も噛み合わせや歯ぐきの健康チェック、衛生士によるクリーニングなどの定期メインテナンスを実施しています。
当院ではインプラントを入れて終わりではなく、治療前後のトータルサポートでその後の健康もしっかり守ることを大切にしています。
「重度歯周病でも対応可能」
な治療法
「可能な限り天然歯を残す」ことを基本方針としており、
むやみに抜歯してインプラントを入れることはありません。
ここでは、中度~重度の歯周病に対し、できるだけ歯を残すための処置をご紹介します。
-

歯肉剥離掻爬術
(フラップ手術)基本治療で改善が見られない場合に行う外科治療です。歯周ポケット内部を切開して歯肉内部の歯垢・歯石を除去することで、治療後はポケットが浅くなり良好な状態になります。
-

歯肉弁根尖側
移動術深い歯周ポケットに対して行う外科治療です。歯肉を切開して根の部分の歯垢・歯石を除去し、必要に応じて溶けた歯槽骨も整えます。治療後は歯周ポケットが最小になり、健康な状態に近づきます。
-

遊離歯肉移植術
歯の周りに弱い歯ぐきしかないときに行われる治療法です。上あごから採取した歯肉を痩せた部分に移植することで、歯やインプラントの持ちを良くします。
-

歯周組織
再生療法歯周病で破壊されたセメント質を回復させるための治療です。
すべての症例が適応ではありませんが、中等度の歯周病であれば、歯槽骨の再生が期待できます。
歯周病が治癒してからでないと
インプラントは行いません!

それは、歯周病になっている方に関しては、歯周病が治癒してからでしかインプラント治療は行わないということです。なぜならば歯周病が治癒していない状態で治療を行うと、将来的にインプラントが悪化してしまう可能性が高まるためです。イメージしてください。土台がしっかりしていない状態で家を建てるとどうなると思いますか?台風・地震などで倒壊の可能性が高まります。インプラント治療も同じです。歯周病はインプラントの土台となる顎の骨を溶かす病気です。そこを改善しないでインプラントを埋め込んでしまうと、最終的にはインプラントにも感染を起こし、駄目になってしまいます。
MOVIE
当院のインプラント治療
大阪府堺市東区の
ナカノ初芝歯科クリニックの
インプラント治療について、
動画でわかりやすく解説します!

DOCTOR
- 「最愛の人」を
ご紹介いただける
医院を目指す - あなたの大切な人が病気で本当に悩んでいる時、
心から信頼できる専門家を探し、その人に診て欲しいと思います。
心から信頼できる専門家とは、
技術的に優れ、経験も豊富な人。
そして何よりも、医療人として、人として、信頼できる人。
患者様の医療人に対しての「期待」は大きなものです。
しかし、それだけの「想い」が詰まっているのです。
正面から真剣にその期待に向き合い、結果を出す。
私にはその覚悟と自信があります。

理事長・歯学博士
中野 裕司
YUJI NAKANO
-
01
20年以上の臨床経験
-
02
ハーバード大学留学含む
先端のインプラント治療を学ぶ -
03
国際口腔インプラント学会指導医 &
日本口腔インプラント学会専修医 取得
経歴
- 大阪歯科大学 卒業
- 全国症例数屈指のインプラント専門医院に勤務
- スウェーデン式のインプラント治療に従事
- マルメ大学インプラントコース修了
- ハーバード大学インプラントコース修了
- テンプル大学インプラントコース修了
- 日本口腔インプラント学会認定100時間コース修了
- JIADSペリオインプラントアドバンスコース修了
- OSIインプラントトレーニングコース修了
- OSIインプラントアドバンスコース修了
所属団体
- 野口英世医学研究所 理事
- 国際口腔インプラント学会 指導医
- 日本口腔インプラント学会 専修医
- 日本アンチエイジング歯科学会 認定医
- 大阪歯科大学歯周病学講座
- 日本歯周病学会
- JIADS
- OSI
- JACID
TRAINING HISTORY
インプラント研修履歴
-

Dr.アルブレクソン
-

Dr.ウルデ
-

Dr.ロルフ
-

Dr.ネビンス
-

Dr.クリスターソン
-

Dr.ジョン
PRICE
インプラント治療費

-

フィクスチャー
(1本)
- 20 万円
- 税込:22万円
-

アバットメント
(1本)
- 10 万円
- 税込:11万円
-

クラウン
(1本)
- 10 万円
- 税込:11万円
その他の治療費
CT撮影 |
|
|---|---|
2次手術(頭出し) |
|
静脈内鎮静法(セデーション) |
|
![]() GBR自家骨や人工骨を盛り、その上に「メンブレン」という特殊な膜で覆い、骨を再生させていく治療法です。 |
|
![]() ソケットリフト顎に一定の骨の厚みがあるが、若干足りない場合に行う処置です。インプラントを埋め込む穴から骨補填材を入れ、インプラントを埋め込む厚みを確保します。サイナスリフトと比べ外科的侵襲が少ないため、手術の痛みや腫れを軽減できます。 |
|
![]() サイナスリフト上顎の骨が少ないときに行う治療です。上顎洞という空洞を押し上げ、その空間に骨補填材を入れ、インプラントを埋め込む骨の厚みを確保します。 |
|
- ※手術後のお薬の費用、麻酔(局所麻酔・静脈内鎮静法)費用は上記費用に含まれており、別途頂きませんのでご安心ください。
CASE
症例集
-
インプラント・1本 (30代女性)
-

BEFORE
-

AFTER
-

BEFORE
-

AFTER
年齢 30代女性
治療内容 インプラント治療1本
インプラント治療とは、歯を抜いた所にチタン製の人工歯根を埋入し、その上に歯を入れる方法です。費用 1本 400,000円(税込 440,000円)
リスク・副作用
腫れ・疼痛・違和感を感じるなどの症状を生じることがあります。
-
-
インプラント・2本 (50代女性)
-

BEFORE
-

AFTER
-

BEFORE
-

AFTER
年齢 50代女性
治療内容 インプラント治療2本(骨造成と歯肉移植の併用)
インプラント治療とは、歯を抜いた所にチタン製の人工歯根を埋入し、その上に歯を入れる方法です。骨と歯肉を増やすことで、より審美的に治療が出来ました。費用 1本 400,000円(税込 440,000円)
リスク・副作用
腫れ・疼痛・違和感を感じるなどの症状を生じることがあります。
-
-
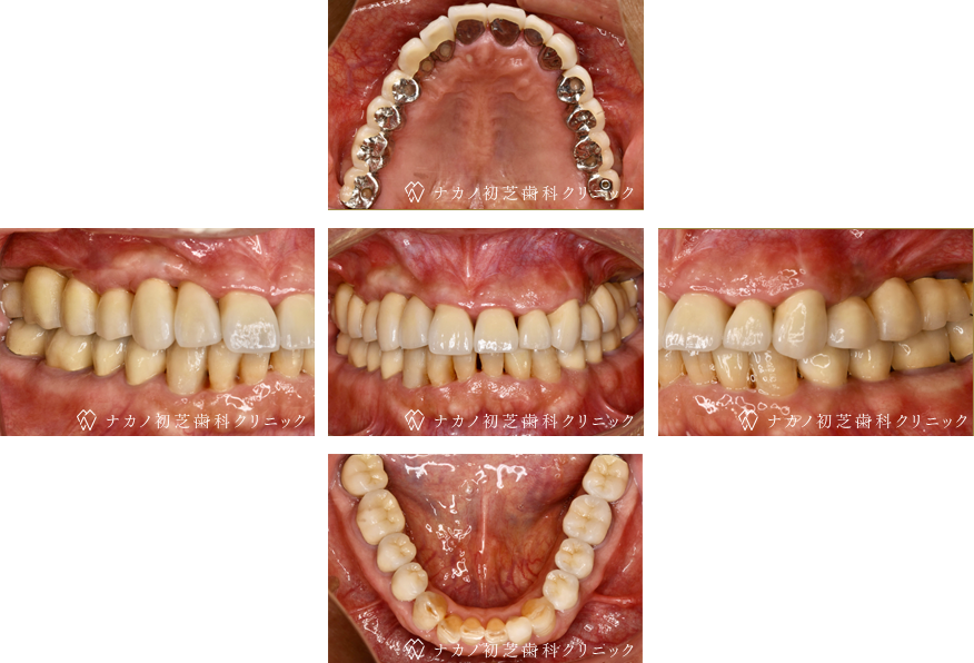
インプラント・4本 (60代女性)
-

BEFORE
-

AFTER
-

BEFORE
-

AFTER
年齢 60代女性
治療内容 インプラント治療4本(骨造成と歯肉移植の併用)
インプラント治療とは、歯を抜いた所にチタン製の人工歯根を埋入し、その上に歯を入れる方法です。骨と歯肉を増やすことで、より審美的に治療が出来ました。費用 1本 400,000円(税込 440,000円)
リスク・副作用
腫れ・疼痛・違和感を感じるなどの症状を生じることがあります。
-
-
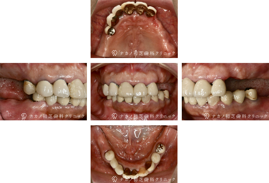
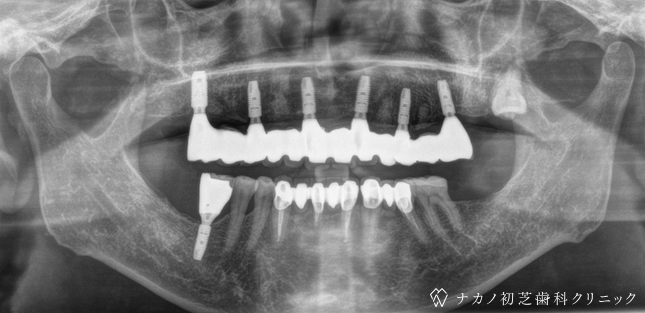
インプラント・6本 (50代男性)
-

BEFORE
-

AFTER
-

BEFORE
-

AFTER
年齢 50代男性
治療内容 インプラント治療6本(骨造成と歯肉移植の併用)
インプラント治療とは、歯を抜いた所にチタン製の人工歯根を埋入し、その上に歯を入れる方法です。骨と歯肉を増やすことで、より審美的に治療が出来ました。費用 1本 400,000円(税込 440,000円)
リスク・副作用
腫れ・疼痛・違和感を感じるなどの症状を生じることがあります。
-
-
インプラント・6本 (50代男性)
-

BEFORE
-

AFTER
-

BEFORE
-

AFTER
年齢 50代男性
治療内容 インプラント治療6本(骨造成の併用)
インプラント治療とは、歯を抜いた所にチタン製の人工歯根を埋入し、その上に歯を入れる方法です。骨を増やすことで、より審美的に治療が出来ました。費用 1本 400,000円(税込 440,000円)
リスク・副作用
腫れ・疼痛・違和感を感じるなどの症状を生じることがあります。
-
-
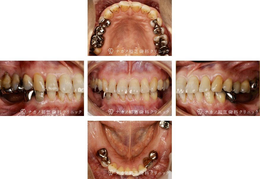
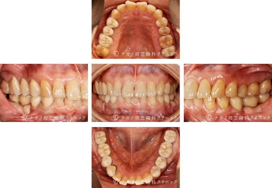
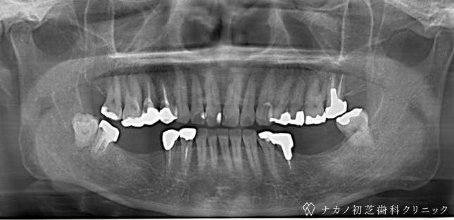
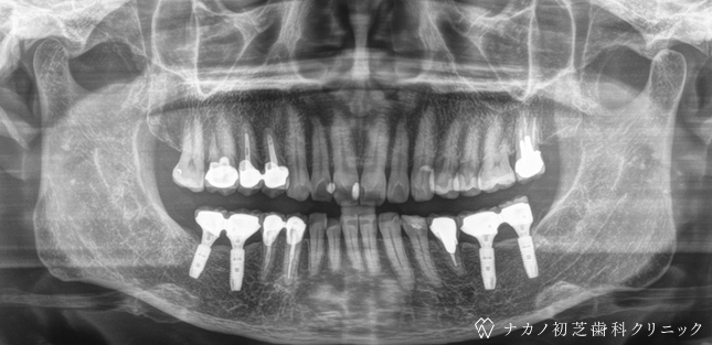
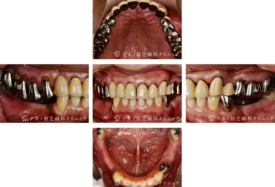
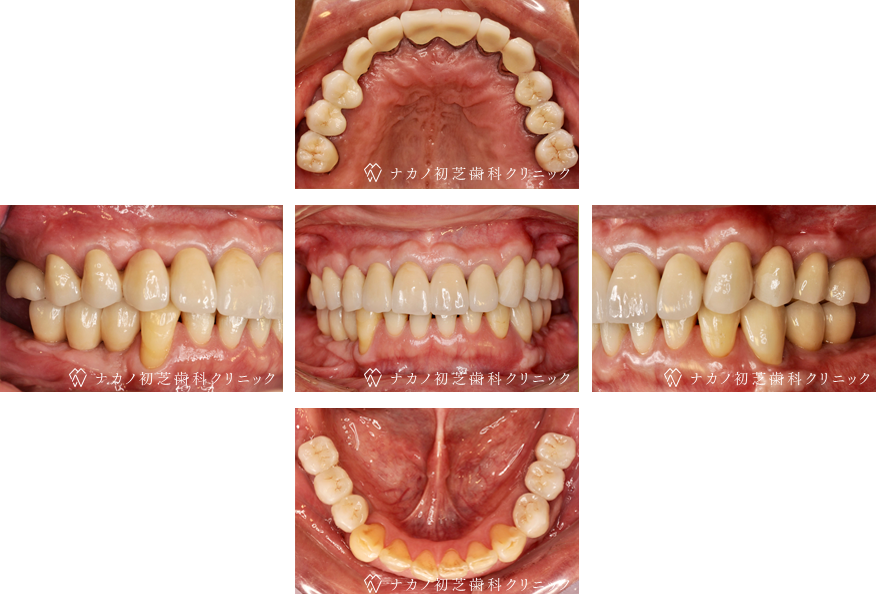
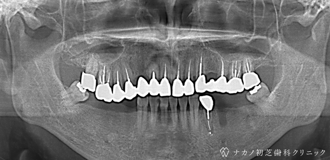
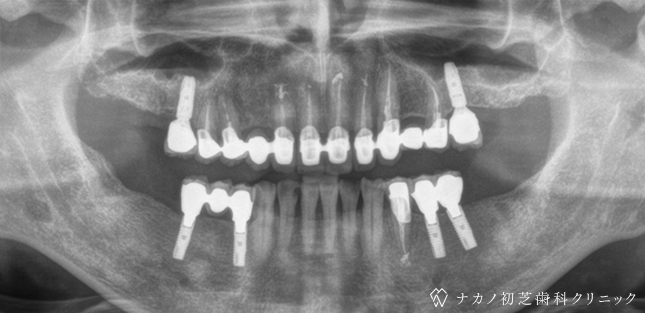
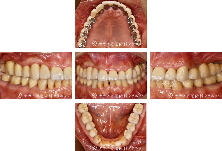
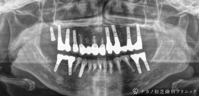
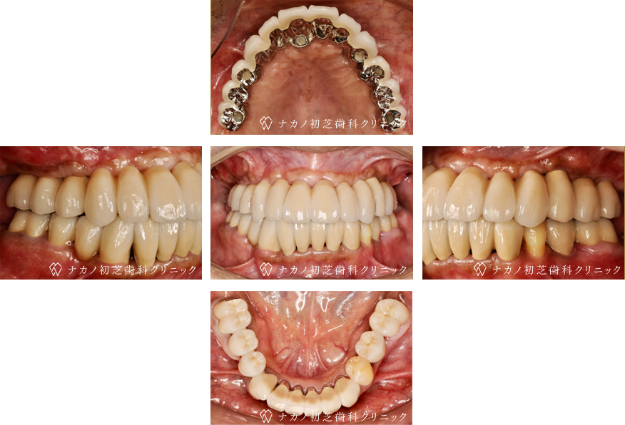
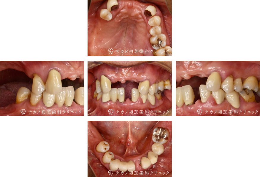
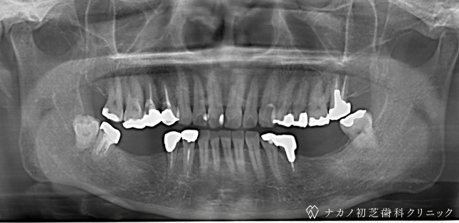
インプラント・7本 (60代男性)
-

BEFORE
-

AFTER
-

BEFORE
-

AFTER
年齢 60代男性
治療内容 インプラント治療7本(骨造成の併用)
インプラント治療とは、歯を抜いた所にチタン製の人工歯根を埋入し、その上に歯を入れる方法です。骨を増やすことで、より審美的に治療が出来ました。費用 1本 400,000円(税込 440,000円)
リスク・副作用
腫れ・疼痛・違和感を感じるなどの症状を生じることがあります。
-
-
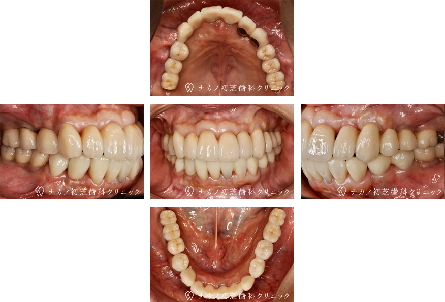
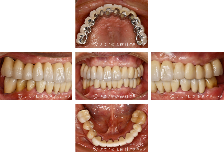
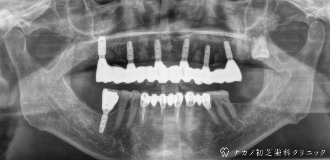
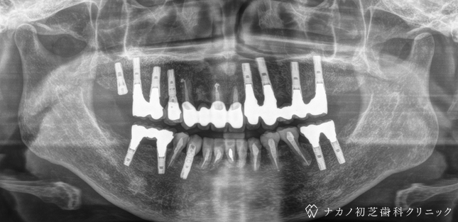
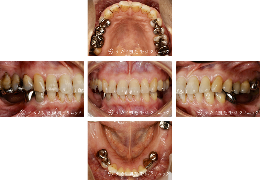
インプラント・7本 (70代男性)
-

BEFORE
-

AFTER
-

BEFORE
-

AFTER
年齢 70代男性
治療内容 インプラント治療7本(骨造成の併用)
インプラント治療とは、歯を抜いた所にチタン製の人工歯根を埋入し、その上に歯を入れる方法です。骨を増やすことで、より審美的に治療が出来ました。費用 1本 400,000円(税込 440,000円)
リスク・副作用
腫れ・疼痛・違和感を感じるなどの症状を生じることがあります。
-
-
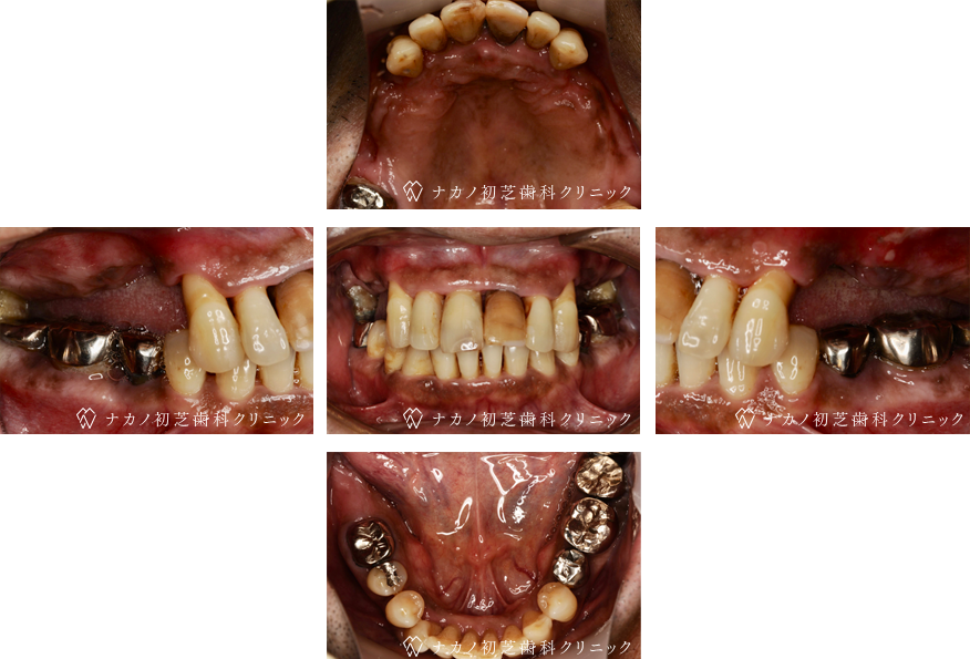
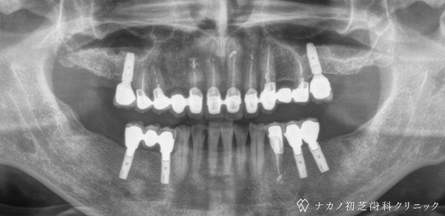
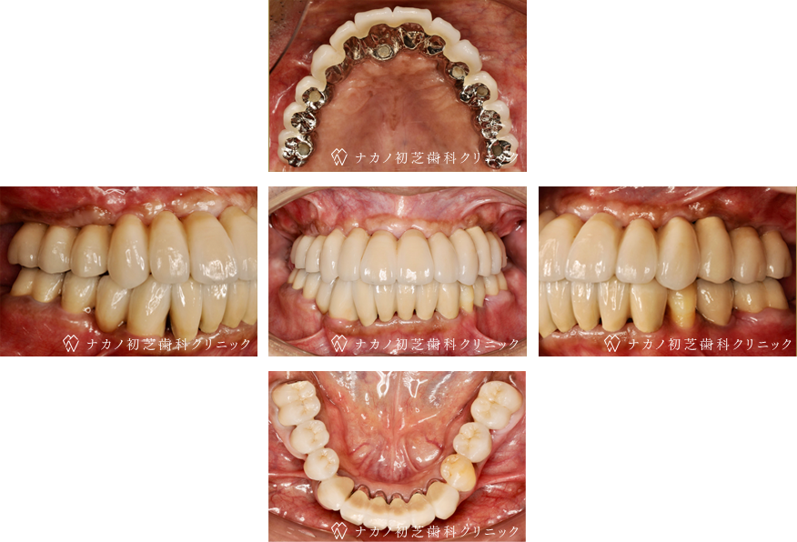
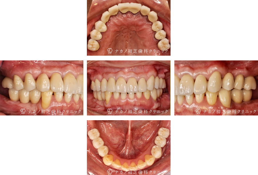
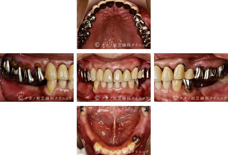
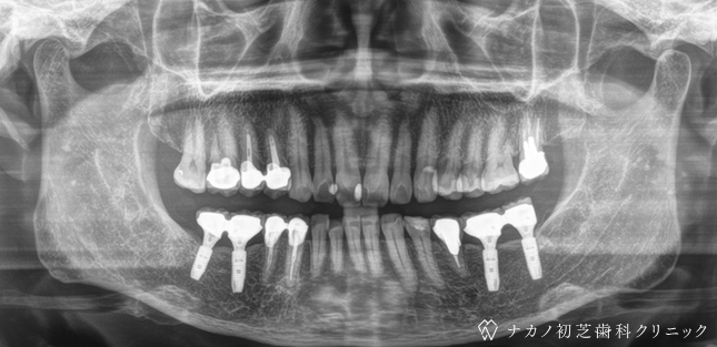
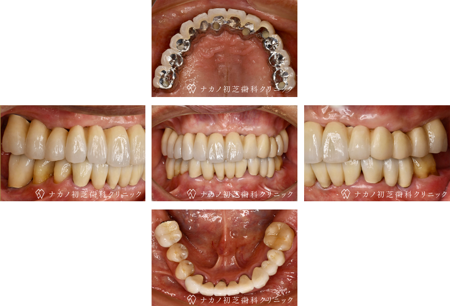
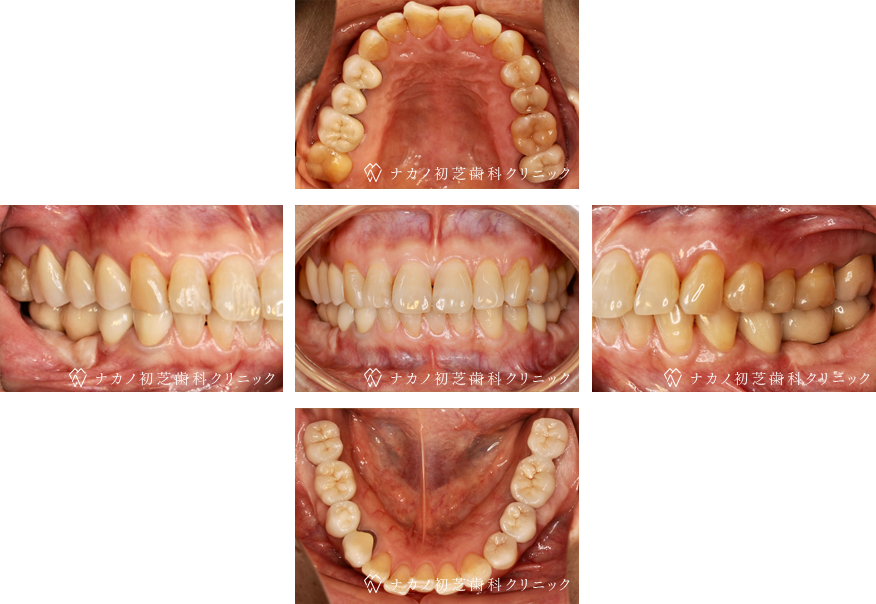
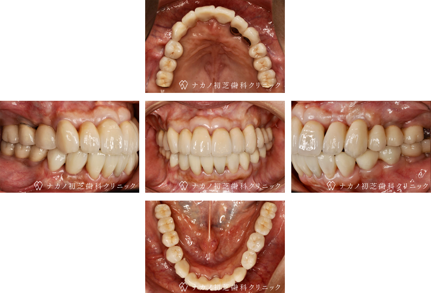
インプラント・13本 (60代女性)
-

BEFORE
-

AFTER
-

BEFORE
-

AFTER
年齢 60代女性
治療内容 インプラント治療13本(骨造成の併用)
インプラント治療とは、歯を抜いた所にチタン製の人工歯根を埋入し、その上に歯を入れる方法です。骨を増やすことで、より審美的に治療が出来ました。費用 1本 400,000円(税込 440,000円)
リスク・副作用
腫れ・疼痛・違和感を感じるなどの症状を生じることがあります。
-
MAIL FORM
メール予約・相談
メールでのご予約・ご相談について
カウンセリング・診療時間外のお問い合わせはこちらからお申し込みください。
入力いただいた電話番号、メールアドレスへご連絡をさせていただきます。
- ご連絡は診療時間内のご対応をさせていただきますので、ご了承ください。
- 携帯メールでお申し込みをする場合は、PCメールからの受信拒否を解除してください。
- 万一、5日以上経ってもご連絡が無い場合には 大変お手数をおかけして申し訳ありませんが、
医院まで、一度ご連絡くださいますようお願いいたします。 - 送信していただいた個人情報につきましては厳重に保管いたします。
- 電話での予約・相談
- *必須項目は必ずご記入ください
BLOG

























